Чоловік випадково проковтнув свої зубні протези: що було далі

  • Автор темы Автор темы Venya22
  • Дата начала Дата начала

Venya22

Пользователь
Регистрация
25/10/25
Сообщения
1,737
Репутация
8
Лайки
35
Депозит
0.11$
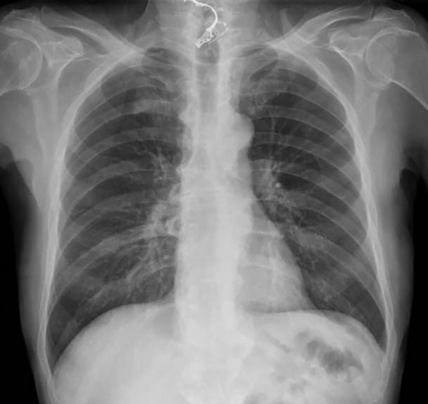
Він не зрозумів, що сталося.В Австрії 72-річного чоловіка було доправлено до лікарні зі скаргою на те, що він не може ковтати. Як виявилося, до цього він проковтнув свої зубні протези.
Про це повідомляє Need To Know

Лікарі не були впевнені, що заважає пенсіонеру їсти, але помітили, що він не має верхнього ряду вставних зубів. Потім рентген підтвердив причину проблеми. Протези застрягли у нижній шийній області.
Чоловік проковтнув зубні протези / Фото: Jam Press
Чоловік проковтнув зубні протези / Фото: Jam Press

Їх витягли із дихальних шляхів за допомогою щипців.

Чоловік проковтнув зубні протези / Фото: Jam Press
Чоловік проковтнув зубні протези / Фото: Jam Press

Після операції було зроблено ще один рентген, який не показав жодних ознак перфорації стравоходу.

Щоб допомогти його одужанню, чоловіка з Граца протягом шести днів годували в інший спосіб, а не через рот. Потім він знову зміг нормально їсти. Також було призначено антибіотики, що дозволило йому плавно відновитися.

Нагадаємо, в Китаї чоловік втратив око через маленьку муху. Його довелося прооперувати.
 
какой же ужас что творится человек сьел свои протезы
 
страшно выглядит, параноия что тоже такое будет
 
Назад
Сверху Снизу